Neuro Chronic Sub-Dual Haematoma Surgery in India
Chronic sub-dual haematoma:
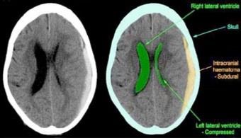
![]() |
A chronic sub-dual haematoma is a brain disorder involving a collection of blood in the space between the inner membranes that cover the brain and the outer membrane covering of the brain, with symptoms occurring two weeks or more after the injury that caused the leak of blood. |
What is a chronic sub-dual haematoma?
- Chronic describes a condition which develops gradually and which lasts a long time.Subdural means below the dura.
- The dura mater is the outer membrane covering the brain.
- Haematoma means a collection of blood.
What are the causes of chronic subdural haematoma?
Chronic subdural haematomas are caused by injuries to the head. The head injury could be as minor as a bump, or as serious as a car accident. The blood slowly collects and presses on the brain tissue, which in turn can become inflamed. The growing leakage of blood, and inflammation can cause pressure on the brain, causing a gradual loss of brain function.
Who is at risk of a chronic subdural haematoma?
Anyone who has had a head injury is at risk. In addition, the following are at particular risk:
- the very young or elderly;
- chronic users of aspirin or blood thinner (anti-coagulant) medication;
- alcoholics;
- those with a disorder that may increase the ris...
Chronic sub-dual haematoma Surgery in India is available in following cities:
| Mumbai | Hyderabad | Kerala |
| Delhi | Pune | Goa |
| Bangalore | Nagpur | Jaipur |
| Chennai | Gurgaon | Chandigarh |
Go to the Enquiry Form
Phone Numbers Reach Us
India & International : +91-9860755000 / +91-9371136499
UK : +44-2081332571
Canada & USA : +1-4155992537
Below are the downloadable links that will help you to plan your medical trip to India in a more organized and better way. Attached word and pdf files gives information that will help you to know India more and make your trip to India easy and memorable one.
Apollo Hospital
Fortis Hospital
Artemis Hospital
Medanta Hospital
Jaslok Hospital
Lilavati Hospital
Global Hospitals
Jupiter Hospital





